신당동외국인영어진료, 신경치료 후 치아의 통증, 흔들림 그리고 고름이 나요

 

신당동외국인영어진료

 

신경치료 받은지 2년 지났는데 치아가 흔들리고 고름이 생겼어요

 

안녕하세요, 신당동 세이지치과의원 원장 신종호입니다.

신경치료를 받으면 멀쩡할 줄 알았던 치아가 몇년이 지나고 나니 위아래로 흔들리고 심지어 주변에 고름이 차올라 통증이 생긴 증례를 소개해드려고 합니다. 치아를 발치해야 하는지, 발치한 자리에는 임플란트 식립이 가능한지 많은 고민을 가지고 광범위 뼈이식이 가능하고 고난도 임플란트 식립이 가능한 세이지치과에 내원해주셨습니다.

 

신당동외국인영어진료

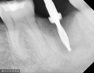
2023. 5. 4(초진 시 발견된 광범위한 골소실)

 

먼저 X-ray 장비를 이용하여 해당부위를 관찰하였습니다. 예상대로, 치아의 뿌리쪽에 염증이 생겨 있었으며 광범위한 상태의 골소실이 관찰되었습니다.

 

즉시 식립 vs 지연식립 ?

 

신당동외국인영어진료

 

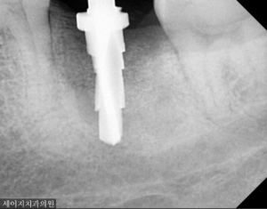
사진 설명을 입력하세요. 해당치아는 광범위한 골소실로 인해 발치로 치료계획을 설정하였습니다. 3D CT 장비를 이용하여 해당 부위의 골조직의 염증 부위를 확인하고 정확한 식립을 위해 모의 수술을 해보았습니다.

 

신당동외국인영어진료

 

가장 최적의 위치에 모의로 임플란트 수술을 진행해 보았습니다. 이상적인 위치 관계를 설정한 후, 하치조 신경관과의 거리를 정확히 계산한 후 임플란트의 직경, 길이 등을 설정하였습니다. 향후 보철적인 관계를 위하여 대합되는 상악의 어금니와의 관계를 고려하였습니다.

다만, 골소실의 범위가 굉장히 컸기 때문에 바로 식립을 하는 것 보다는 뼈가 어느 정도 염증에서 회복이 된 상태에서 식립 하시길 권해 드렸습니다.

발치하는 즉시에 하는 식립과, 뼈가 차오르길 기다렸다 하는 식립중에서 선택을 해야할 때가 있습니다. 골조직의 파괴양상과 남은 잔존골의 양과 질에 따라 치과의사의 진단하에 이루어 지는데 보통 염증이 크고 술 후 통증/부종 등을 크게 동반할 경우에는 보통 지연식립을 선호합니다.

신당동외국인영어진료 신당동외국인영어진료 신당동외국인영어진료 신당동외국인영어진료

장점 단점
즉시 식립

치료 기간 단축

수술횟수 감소

잔졸골 확보가 어느정도 되어야 가능

숙련된 의료진 필요

지연 식립

높은 성공률

안정적인 치유

긴 치료기간

발치 후 추가적인 수술 필요

 

 

신당동외국인영어진료

2023. 05. 04

깨끗하게 치아를 제거하고 남아 있는 염증 조직을 소파하였습니다. 향후 임플란트가 채워질 자리이기 때문에 발치의 과정도 중요하지만, 남아있는 골조직에 염증이 잘 제거될 수 있도록 꼼꼼하게 제거해드렸습니다.

3개월 여의 시간을 기다려 잇몸이 아물고 뼈가 어느정도 회복할 시간을 기다려 임플란트 식립을 진행해드렸습니다.

 

신당동외국인영어진료 신당동외국인영어진료 신당동외국인영어진료

정확하게 식립하기 위해서 원칙적인 식립 위치의 첫 임플란트 드릴 각도를 봅니다. 빠르게 심는 것은 누구나 할 수 있지만, 바르게 심는 것은 정성과 열정이라고 생각합니다. 하나의 임플란트를 심더라도 오래토록 건강하게 사용하였으면 하는 마음으로 세이지치과는 안전하고 바르게 식립하고 있습니다.

임플란트 식립 후, 임플란트의 인공나사와 뼈가 붙는 시간을 약 3개월 간 기다려 최종 보철물을 장착 해드렸습니다.

 

신당동외국인영어진료

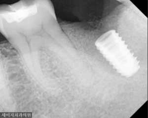
2023. 12. 02

 

CT를 이용한 기존 모의 수술과 비슷한 결과값을 얻었으며 수술당시 광범위한 뼈이식을 통해 골조직을 재건해드렸습니다.

뼈이식은 이식재의 선택부터, 연조직의 핸들링까지 숙련된 치과의사에게 시술받아야 합니다. 감염으로부터 보호하기 위해 적절한 조치가 이루어져야 하며, 환자의 통증조절을 위해서도 여러가지 임상적인 노하우가 필요합니다.

원칙을 지키며 환자분에게 어떤것이 가장 맞는 방법인지 늘 고민하며 환자분께서 치료 후에도 웃는 얼굴로 저와 만나는 것을 최고의 보람으로 생각하고 있습니다.

긴 치료기간이었지만, 환자분께서 적극적으로 치료에 협조해주시고 중간중간 정기검진을 잘 지켜주신 환자분께 감사드리며, 오래토록 사용할 수 있는 임플란트가 되었으면 합니다.

 

네이버지도 바로가기

 

*모든 증례 사진은 의료법 제23조, 제 56조에 의거하여, 당사자의 동의하에 게시하였습니다.
*치료 사진은 모두 본원에서 치료한 환자분의 사진입니다.
*치료 사진은 모두 동일인의 사진이며, 동일조건에서 촬영하였습니다.
*개인의 차이에 따라 시술 및 수술 후 부작용이 발생할 수 있으며, 의료진과 충분한 상담을 받으시기 바랍니다

 

 

문의 전화

02-6083-2879

네이버 예약

네이버 예약