약수역통증완화, 흔들리는 임플란트 뽑아내고 다시 올바르게 재수술하기

 

약수역통증완화

약수역통증완화 약수역통증완화 약수역통증완화

안녕하세요, 약수역 세이지치과의원 원장 신종호입니다.
오늘은 임플란트 식립 후 흔들림으로 인해 저희 치과를 찾아주신 환자분의 사례를 소개해드릴까 합니다.

 

임플란트 한 곳 치아가 흔들거리고 고름이 나와요

 

임플란트는 영원한 걸까요? 자연치아보다 훨씬 더 튼튼해서 훨씬 안정적인 걸까요?

– 그렇지 않습니다;;

 

임플란트 한번 식립하면 영원히 사용할까요?

No! 자연치아처럼 제대로 관리하지 않으면 또 뽑아야 합니다.

 

오늘 소개해드릴 환자분의 사례도 튼튼한 임플란트를 심었는데 왜 임플란트가 흔들거리고 고름이 나오는지 궁금해 하셨어요.

 

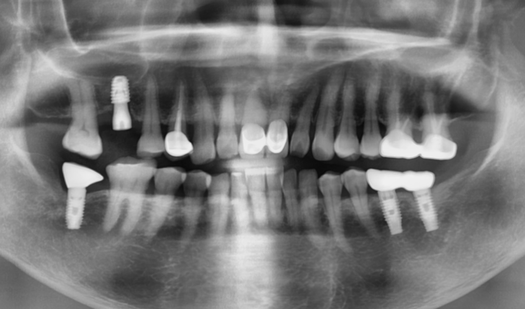
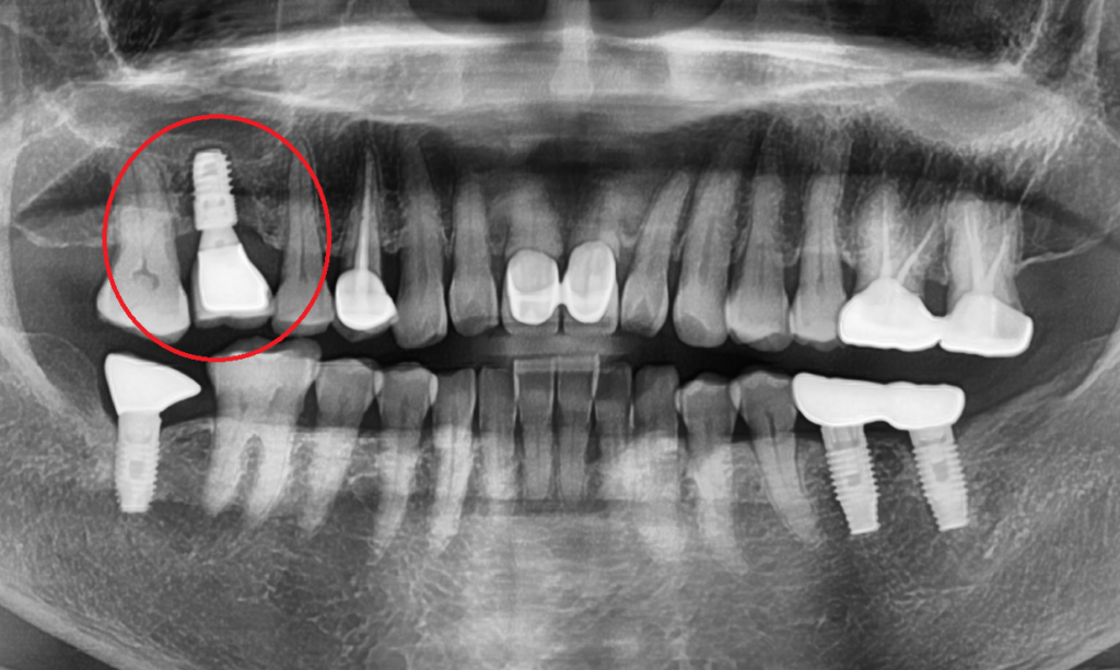
약수역통증완화

23. 02. 24(임플란트 뿌리 부분 주변으로 번져있는 염증)

 

혹시 빨간색 표시한 부위의 염증이 엑스레이에서 보이시나요? 임플란트의 나사선을 타고…잇몸뼈가 검게 바뀌어 있는 부분 말입니다. 엑스레이는 2D 영상이기에 바깥쪽과 안쪽이 중첩되어 염증의 소견이 전문가의 눈에서만 보입니다.

위의 경우 엑스레이 상으로 이정도의 수직적 골파괴가 확인 되었다면 조금 더 확실한 확인을 위해 컴퓨터 단층 촬영 CT를 해보게 됩니다.

 

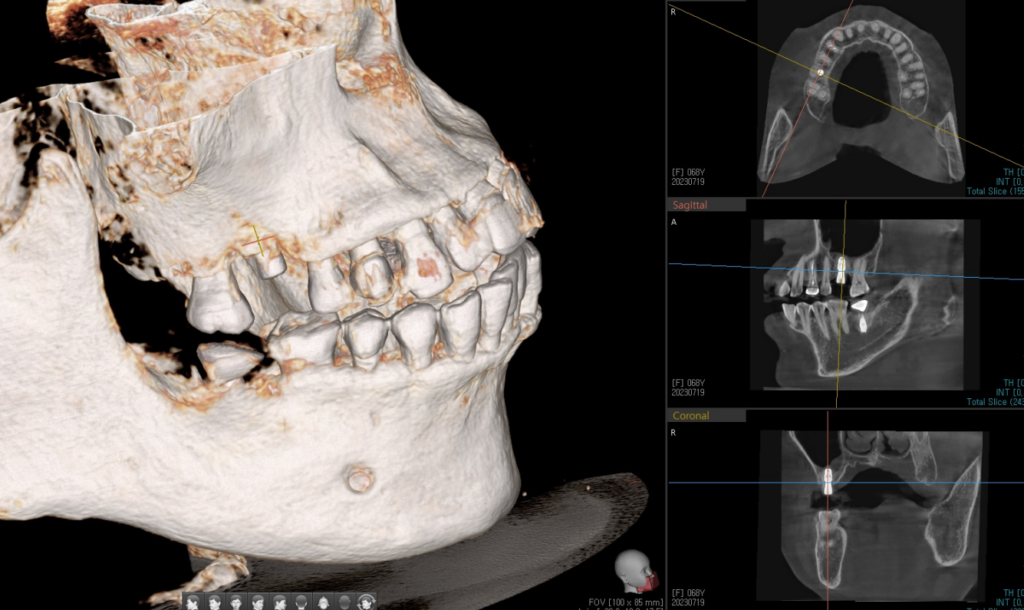
약수역통증완화

23. 02. 24(CT 상에서 발견되는 임플란트 주위염)

 

엑스레이와 같은 2D 영상에서는 보이지 않았던 임플란트 주변 뼈의 파괴가 CT에서는 3D 로 보기 때문에 확연하게 보입니다. 임플란트 뿌리 주위로 염증이 옮아 있었고 나사선을 타고 뿌리까지 내려가 치아의 흔들림을 만들어 낸 것입니다.

 

임플란트 주위염

임플란트 주위에 생긴 잇몸 염증으로 시작되어 심각해지면 잇몸 하방의 임플란트 나사선을 타고 염증이 전파되어 골파괴를 야기하는 질환입니다.이 질환은 자연치아보다 더 빠르고 심하게 일어나는 것이 특징입니다.

임플란트주위염, Peri-implantitis 라고 부르는 이 질환은 임플란트 주변의 치주염으로 인해 임플란트를 감싸고 있는 잇몸뼈의 파괴가 생기며 임플란트의 나사선을 타고 지속적으로 염증이 퍼져나가는 질환입니다.

때문에 임플란트 식립 후에 치과의사가 “치과에서 정기검진 잘 오셔야 해요” 하는 이유가 바로 여기에 있습니다.
임플란트는 자연치아처럼 신경이 존재하는 것이 아니여서 이미 통증을 느끼는 순간에는 치료의 골든타임을 놓치는 경우가 많기 때문이에요.

 

계획 : 임플란트 발거 >> 잇몸 재생 기다림(치주조직재건) >> 임플란트식립 (뼈이식동반)

 

환자분께는 임플란트 제거를 설명드리고 충분히 염증이 아물고 뼈가 생기는 시간을 기다렸다가 임플란트 식립을 할 것을 설명드렸습니다.

한번 파괴된 골조직을 다시 재건하고 임플란트를 심는다는 것치료하는 사람의 많은 숙련도가 필요하고 다소 긴 치유기간이 필요합니다. 그렇게 잇몸뼈의 재생을 충분히 기다리면서, 새로운 임플란트 식립을 위한 모의수술을 진행하였습니다.

 

약수역통증완화

23. 02. 24(CT를 활용한 모의 임플란트 수술)

 

CT를 활용한 모의 임플란트 수술 여러분들은 그림을 그릴때, 어떤 방식으로 그림을 그리시나요?

처음에는 밑그림을 그리고, 나중에 그 밑그림이 내 생각과 정확하게 맞다면 그다음에 디테일을 생각하시지 않나요?

임플란트 치료도 그렇습니다. 먼저 임플란트라는 것을 왜 해야하는지에 대해서 생각하면서 환자분에게 맞춤형으로 치아의 머리 부분이 들어가는 것을 디자인하고 그 치아 머리부분에 씹는 힘이 가장효율적으로 전달될 수 있도록
임플란트 뿌리 부분을 설계하고 식립합니다.

 

임플란트 치료 : Top – down process

 

이는 임플란트 치료에 있어 Top-down 방식으로 명명하며, 교합적으로 안정적인 위치에 보철물이 만들어질 수 있도록, 치아 머리를 먼저 설계 후 뿌리부분의 길이와 위치를 설정하는 것이 임플란트의 장기적인 예후에 좋다는 것이 이 방식의 컨셉입니다.

여러분도 주변에 일을 잘하는 분들이나, 우리가 이야기 하는 ‘프로’라고 부르는 분들을 보면 이러한 방식으로 복잡한 일도 굉장히 쉽게 풀어가는 것을 볼 수 있을 겁니다.

 

약수역통증완화

23. 10. 25(임플란트 식립 후 확인 x-ray)

 

대합되는 치아에 온전한 힘을 받을 수 있도록 임플란트를 제 위치에 식립해드렸고, 협측부의 소실된 부위에도 뼈이식을 동반하여 ,골조직 재건을 형성 하였습니다.

임플란트가 식립된 후, 뼈와 잘 붙고 있는지 어떻게 확인해 볼 수 있을까요?

임상적인 노하우로 x-ray에서 뼈의 변화들을 보시는 원장님들도 계시지만 요즈음은 isq라고 해서 frequency로 공명주파수로 안정도를 측정해볼수 있습니다. 시각적으로 수치를 디지털화 되어 있어서 뼈와 임플란트의 골유착을 보조적으로 판단하는 기준으로 사용하고 있습니다.

 

약수역통증완화

isq 측정장비

 

다행히, 환자분께서는 ISQ수치도 잘 나와서 본을 뜨고, 임플란트 크라운 제작에 들어갔습니다.

임플란트 크라운은 환자분을 위한 맞춤형 지대주로 제작하였으며, 환자분의 잇몸선과 자연스럽게 어울릴수 있도록 제작하였습니다.

 

약수역통증완화

23.10.25(CT상 임플란트 재수술 후 골유착이 일어난 모습)

 

CT상 임플란트 재수술 후 골유착이 일어난 모습 이렇게 치료를 마치고, 임플란트 치아의 머리까지 완성해 드렸습니다.

임플란트 치료의 기간이 다른 환자들보다 길었기에 환자분께서도 많은 고생을 해주셨습니다. 세이지 치과를 믿고 잘 따라와 주셔서 치료가 잘 마무리 된 후 감사의 인사를 드렸습니다.

앞으로는 임플란트 정기검진을 꼼꼼하게 오셔야겠다고 다시 한번 웃으면서 이야기 하시면서 가셨던 모습이 생각납니다.

임플란트는 심기만 하면 끝나는 진료가 아니라 장기간의 예후 관찰이 필요한 진료입니다. 메커니즘이 자연치아와는 다르기 때문에 그 속성을 환자분께 충분히 말씀드리고 임플란트의 장기 수명을 위해서는 반드시 치주검사와 치료가 동반되어야합니다.

긴글 읽어주셔서 감사합니다. 혹시라도 임플란트의 흔들림이 나타난다면 무시하시면 안되고 꼭 치과로 내원하시어 검사받아보세요.

 

*모든 증례 사진은 의료법 제23조, 제 56조에 의거하여, 당사자의 동의하에 게시하였습니다.
*치료 사진은 모두 본원에서 치료한 환자분의 사진입니다.
*치료 사진은 모두 동일인의 사진이며, 동일조건에서 촬영하였습니다.
*개인의 차이에 따라 시술 및 수술 후 부작용이 발생할 수 있으며, 의료진과 충분한 상담을 받으시기 바랍니다

 

네이버지도 바로가기

 

 

문의 전화

02-6083-2879

네이버 예약

네이버 예약