약수역외국인영어진료, 잇몸이식술을 이용하여 앞니 임플란트 치료하기

안녕하세요, 약수역 세이지치과의원 원장 신종호입니다. 오늘은 앞니 임플란트를 위해 내원해주신 환자분의 사례를 소개해 드리려고 합니다.
앞니 임플란트는 어금니의 위치와는 다르게 심미적인 요소가 더욱 중요한 위치 입니다. 여기서 심미적이라는 것은 임플란트 보철물의 색상이나 모양이 주변 인접치와 자연스러워야 하고 단단한 잇몸층이 받쳐주면서 자연치와 비슷한 형태를 취하는 것을 말할 수 있으며 최종적으로는 환자의 심미적인 요구도를 충족시키는 경우라 할 수 있습니다.
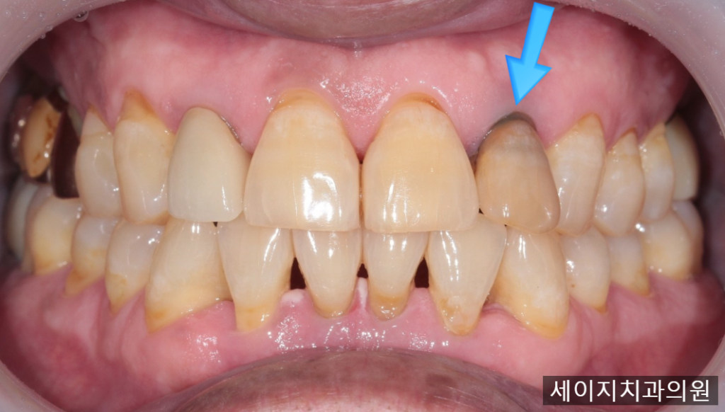
앞니가 흔들거리고 곧 빠질 것 같아요.
오늘 소개해드릴 케이스의 경우, 대합치아와의 교합 간섭으로 인해 교합외상이 발생되어 있었으며, 이로 인해 치아의 심한 동요도를 보였습니다.

24. 05. 09
먼저 x-ray와 CT를 이용하여 정확한 뼈의 모습과 치아의 상태를 관찰하였습니다.

24. 05. 09
CT상으로는 입술에서 가까운 잇몸뼈의 흡수가 관찰되었습니다.
환자분께서는 신경치료를 받은 치아이기에 심한 통증은 나타내진 않으셨지만 치아가 계속 흔들거려서 빠질것 같다고 표현해 주셨습니다.
잇몸뼈의 소실이 크기에, 임플란트 진행시 심미적인 요소를 맞추기가 어려워 보였습니다. 때문에 환자분께 브릿지 치료도 하나의 옵션으로 권유드렸으나, 인접한 치아를 갈아내는 것에 대한 부담감이 크다고 이야기 해주셨습니다.
환자분과의 여러번의 상담을 통해서 심미적인 요소를 완성시키기 위해서는 앞니 임플란트 식립과 함께 CTG (Connective tissue graft) 라는 술식이 필요하다는 것을 말씀드렸고 환자분께서도 동의해주셨습니다.

CTG라 부르는 이 증례에서 시행한 방법은 먼저 잇몸의 구조를 아시면 이해하기 쉽습니다.
도식에서 보시면 잇몸의 경우 위에 잇몸의 가장 겉층인 epithelial tissue라 부르는 우리가 말하는 상피조직이 있습니다.
CTG(connective tissue graft)
: 잇몸 퇴축을 치료하고 심미성을 개선하기 위해 사용하는 효과적인 술식. 구강 내에서 채취한 결합 조직을 잇몸 퇴축 부위에 이식하여 잇몸의 두께와 폭을 증가시키는 술식.
그 하층에는 오늘 저희가 소개해드릴 connective tissue라고 부르는 결합조직 혹은 결체조직이 있습니다. 잇몸이식술에서는 전층을 박리해서 이식하는 술식부터 우리가 필요한 조직만 선택적으로 채취해서 이식하는 방법이 있습니다.
오늘은 겉층은 제외한 잇몸겉층과 골막층 사이에 위치한 결합조직만을 선택적으로 채취하기로 결정하였습니다. 보통 잇몸증대술이라고 부르는 이 방법은 전층을 채취하는 유리치은이식술에 비해 채취가 까다롭습니다.

사진처럼 작도를 통해서 원하는 만큼의 시편을 채취해야 하며, incision 시 중요한 해부학적 구조물을 침범하지 않도록 주의하여야 합니다. 이 술식은 보통 입천장에서 채취하며, 잇몸의 두께나 양이 부족한 곳에 이식해주게 됩니다.

24. 10. 16
환자의 입천장에서 원하는 만큼의 결체조직을 채취하였고, 채취 후 봉합을 통해 조직재생을 도모하였습니다.

24. 10. 16

24. 10. 16
올바른 위치에 임플란트를 식립하고 나서, 채취된 잇몸편을 원래 계획하였던 위치에 봉합하였습니다.

24. 10. 16
수술 후 즉시 임시치아를 제작하여 간섭되지 않도록 조정해 드렸으며 잇몸이 치유될 수 있도록 수회의 소독을 시행해 드렸습니다. 이후 일정 기간의 임플란트와 뼈의 융합기간을 기다려 임플란트 보철물을 제작해 드렸습니다.

24. 10. 16
보철물의 장착 직후 증대된 잇몸이 보철물에 눌려 하얗게 바뀐 모습이 관찰됩니다. 치아의 발치 이후 소실되었던 잇몸뼈로 인해 얇아진 잇몸에 임플란트의 금속 구조물이 비쳐보이지 않을까하여 충분한 결체조직이식술을 시행했고, 결과적으로는 잇몸이 증대되어 심미적인 요소 또한 충족시킬 수 있었습니다.
환자분들의 입장에서는 임플란트라고 하면 구강내에서 노출되는 치아 인공 보철물과 임플란트 뿌리가 중요하지 라고 생각하실 수 있습니다.
하지만 임플란트의 장기적인 예후에 있어서는 이와 더불어 잇몸의 건강도 중요한 요소입니다.
때문에 잇몸의 적절한 두께와 양을 확보하는 것도 필요합니다.
오늘은 잇몸이식술에 대한 증례를 보여드렸습니다. 앞니 임플란트의 심미적인 고민이 있으셨다면 오늘 포스팅을 참고하시어 치료계획을 세우는데 도움되셨길 바랍니다.
아울러 힘든 진료였지만 잘 협조해주신 환자분께도 감사의 말씀을 다시 드립니다.
*모든 증례 사진은 의료법 제23조, 제 56조에 의거하여, 당사자의 동의하에 게시하였습니다.
*치료 사진은 모두 본원에서 치료한 환자분의 사진입니다.
*치료 사진은 모두 동일인의 사진이며, 동일조건에서 촬영하였습니다.
*개인의 차이에 따라 시술 및 수술 후 부작용이 발생할 수 있으며, 의료진과 충분한 상담을 받으시기 바랍니다.
약수역외국인영어진료 약수역외국인영어진료 약수역 약수역외국인영어진료외국인영어진료
네이버지도 바로가기