신당동외국인영어진료, 머리가 부러진 임플란트, 제거하고 바르게 재수술하기

안녕하세요, 신당동 세이지치과의원 원장 신종호입니다.
오늘은 오래전 심어둔 임플란트가 부러져서 기존 임플란트 제거 후 재수술한 사례를 소개드릴까 합니다.
임플란트가 빠진거 같이 흔들거리고 잇몸이 아파요
임플란트 시술을 20여년 전 받으시고 불편함 없이 지내셨는데, 갑자기 음식을 씹다가 치아 머리도 같이 흔들리는것 같다고 치과에 내원해주셨습니다.

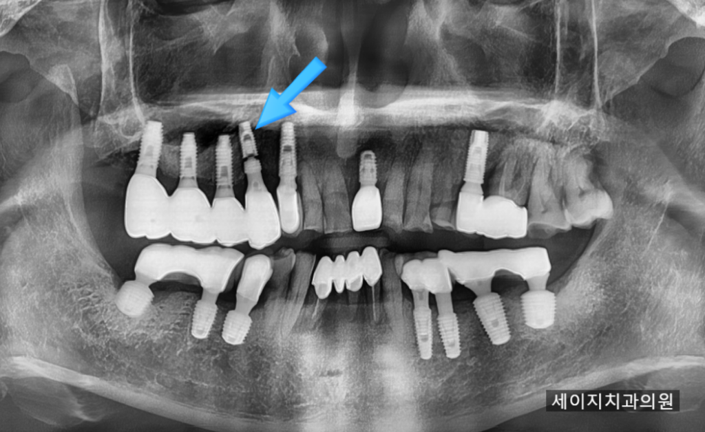
24. 12. 09
엑스레이를 통해 먼저 환자분이 말씀을 주셨던 곳을 확인해 보았습니다. 불행하게도 분리된 임플란트가 관찰이 됩니다.
임플란트도 파절이 생길까요?
Yes! 오랜시간동안 강한 교합력이 가해진다면 피로파절이 일어날 수 있습니다.
임플란트의 뿌리는 Titanium으로 제작이 되는데, 물론 강한 금속이지만 강한 교합력이 지속적으로 임플란트 뿌리에 전달이 된다면 시간이 지나면서 피로파절이 일어날 가능성이 있습니다.
임플란트 피로파절 : 임플란트가 갑작스러운 큰 충격이 아닌, 반복적인 저작력으로 인해 시간이 지남에 따라 피로도가 누적되어 결국 파절되는 현상
환자분께 임플란트의 파절을 안내해 드리고 임플란트의 재수술 필요성을 설명드렸습니다. 환자분께서는 임플란트 시술은 많이 받아보셨지만, 한번도 임플란트 제거는 받아보시지 않았기에 통증/붓기 등에 대해 굉장한 스트레스는 받으셨습니다.
하지만, 이렇게 부러진 임플란트를 방치해두게 된다면, 잇몸뼈의 소실 뿐만 아니라 주변 잇몸조직의 염증을 유발하기 때문에 다시 한번 환자분께 설명을 드리고 어렵게 동의를 얻었습니다.

24. 12. 09(CBCT를 이용한 임플란트 제거 계획)
먼저 CT를 이용하여 임플란트의 부러진 뿌리 제거시 접근 방법을 찾아보았습니다. 임플란트 뿌리파편을 감싸고 있는 뼈와 잇몸은 온전한 상태였기에 접근을 위하여서는 주변부의 삭제를 계획하였습니다.
계획 : 임플란트 발거 >> 교합력에 맞는 임플란트의 선택
> 교합압을 분산하기 위한 보철물 디자인
완전히 매복된 사랑니를 뽑는다는 생각으로 계획을 하였고, 주변부의 일부 골편을 삭제하는 계획을 하였습니다. 뼈안에 박혀있는 금속편을 제거하기 위해서는 정교한 접근이 필요하고, 추후 임플란트 수복을 위해서는 너무 많은 골삭제는 지양해야 하기 때문에 CT를 이용하여 모의 수술을 해보았습니다.

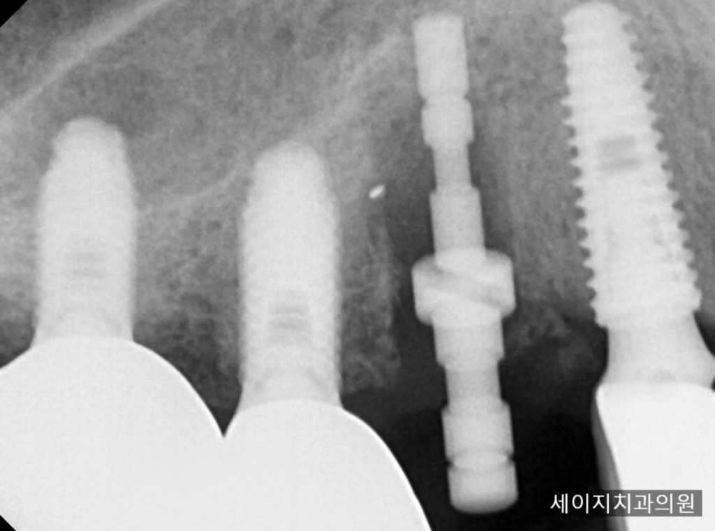
부러진 임플란트의 파편
부러진 임플란트의 파편 먼저 흔들리는 임플란트의 머리 부분을 제거해 보니, 임플란트 뿌리의 일부분이 같이 보입니다. 오랜시간을 버티며, 강한 교합력에 피로파절이 일어났으며, 이는 환자분의 교합력을 보상하기 위한 다음 치료계획에 대한 힌트가 숨어 있습니다.
임플란트 피로파절을 예방하려면
1. 정기적인 치과검진
2. 식습관의 개선
3. 부정교합의 개선
4. 이갈이 습관의 개선
교합력을 이기기 위해서는 임플란트의 직경을 증가시켜 교합압에 대한 저항을 늘이거나 추후 임플란트 보철물 제작 시 교합력이 집중되지 않는 디자인을 시행하여야 위와같은 파절이 다시 일어나지 않도록 할 수 있습니다.

24. 12. 09
임플란트 주변부의 골삭제는 상대적으로 골조직이 많았던 임플란트의 앞부분을 통해 이루어 졌고
이후 공간을 부여한 뒤, 임플란트를 발치하듯이 제거하였습니다.

24. 12. 09(완전히 제거된 임플란트 뿌리파편과 머리 파편부위)
완전히 제거된 임플란트 뿌리파편과 머리 파편부위 주변부의 골조직을 항생제를 이용하여 일정시간동안 소독해내고 안쪽으로 여러번의 소독을 시행하였습니다.
이후 임플란트의 재식립을 위해서 위치 관계를 다시 설정하고 임플란트의 식립을 진행하였습니다.

24. 12. 09
임플란트 재식립을 위한 위치관계를 설정하고 인접한 임플란트의 축과 조화를 이룰 수 있는 위치에 가이드핀을 꼽아 식립위치를 한번 더 확인한 후 안전하게 임플란트 식립을 진행하였습니다.

24. 12. 09
다시 임플란트의 뿌리 부분이 잘 식립이 되었으며, 부러진 임플란트의 파편은 잘 제거 되었습니다. 워낙 남아 있었던 임플란트의 뿌리파편이 뼈에 잘 고정이 되어 있었고 접근할 수 있는 공간이 없어서 제거술이 어려웠습니다.
임플란트의 재수술이 어려운 점은, 뿌리를 심어내야 하는 남아 있는 골조직의 양이 제한될 수 있으며 처음 임플란트를 심어낼 때의 환경과는 또 다른 악조건들이 숨어 있기에 수술은 술자도 환자도 인내가 필요한 진료 입니다.
오래된 임플란트가 흔들거리거나 주변 잇몸이 붓는다면?
문제 발생 시 염증발생을 최소화 하기 위해 빨리 주변 치과에 내원하여 정확한 진단 받기 다행히 환자분께서 잘 이해를 해주셔서 치료는 잘 마무리 되었으며 앞으로 뼈와 임플란트의 뿌리 부분이 건강하게 단단히 굳은 후 보철물 제작을 안내드렸습니다.
혹시라도 오래전 임플란트 시술 후 기존 임플란트에 문제가 생겨 다시 재수술을 받아야하는 상황이라면
뼈의 소실이나 염증의 추가적인 발생을 막기 위해서라도 미루지 마시고 주변 치과에 내원하셔서 정확한 검진을 받아보시길 바랍니다.
오늘 소개해드린 증례에서도 환자분의 빠른 내원으로 인해 추가적인 염증이 생기지 않았고 다행히 잘 마무리 될 수 있었던 케이스였습니다.
신당동외국인영어진료 신당동외국인영어진료 신당동외국인영어진료
*모든 증례 사진은 의료법 제23조, 제 56조에 의거하여, 당사자의 동의하에 게시하였습니다.
*치료 사진은 모두 본원에서 치료한 환자분의 사진입니다.
*치료 사진은 모두 동일인의 사진이며, 동일조건에서 촬영하였습니다.
*개인의 차이에 따라 시술 및 수술 후 부작용이 발생할 수 있으며, 의료진과 충분한 상담을 받으시기 바랍니다
네이버지도 바로가기
신당동외국인영어진료