약수역치과, 앞니사이 충치때문에 걱정이라면

안녕하세요, 약수역치과 세이지치과의원 원장 신종호입니다.
오늘은 앞니 사이 충치 때문에 치료를 걱정하시는 분께 도움이 되는 포스팅을 준비해보았습니다.
앞니는 사람의 첫인상을 좌우하는 중요한 요소인데요. 모양에 따라서 사람의 전체적인 이미지 형성에 영향을 끼치기도 한다고 합니다. 치아가 각지고 큰 모습이라면 날카로운 이미지를 치아의 모습이 둥글하고 귀여운 모습을 하고 있다면 친근한 이미지를 보인다고 합니다.

기술의 발달로 휴대전화로 셀카를 찍으면 높은 해상도로 인해 치아의 발생학적인 모습까지도 관찰되는 경우들이 많습니다. 치아의 최외층 겉층에 위치한 에나멜층은 자세히 그 구조를 보면 물결치는 모습의 perikimata라 구조물이 있습니다. 이러한 구조물까지 카메라에 담길만큼 비약적인 발전을 했죠.
그렇기 때문에 환자분들 께서는 앞니에 작은 충치라도 검은것이 보이면 바로 치과에 오셔서 물어보시기도 합니다. 치료를 해야할 충치인지 착색이 궁금해서 말이죠.

치아의 치료는 ‘레진’이라는 재료를 이용하여 때워드리는 것으로 설명을 드렸습니다. 앞니 사이 충치의 경우, 최근에는 기존 레진 치료 외에도 ‘바이오클리어(Bioclear)’라는 방법을 활용하기도 합니다. 바이오클리어는 치아를 최소한으로 삭제하면서, 앞니 사이 공간이나 충치 부위를 보다 자연스럽게 회복할 수 있는 치료 방법입니다. 특히 투명한 몰드를 이용하여 치아 형태를 정교하게 재현하기 때문에, 심미적인 결과를 중요하게 생각하시는 분들께 적합한 치료입니다

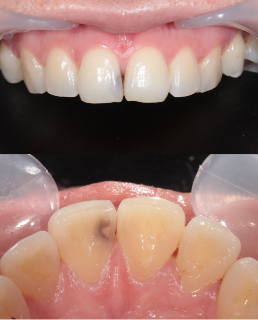
앞니 사이 충치 앞면/뒷면
다음은 실제 내원해주신 환자분의 치아 사진 모습입니다. 사이면 충치로 인해 변색이 광범위하게 보이고 있고, 이로 인해 치료상담을 원하셨습니다. 엑스레이 소견상 신경과 가까운 위치에 충치가 있었기 때문에 충치를 조심스럽게 제거하면서 신경치료 가능성에 대해 설명을 드렸습니다.

앞니의 치료는 어느 면에서 접근 하느냐에 따라 치료의 결과값이 달라질수 있다고 설명드렸습니다. 이분은 다행히도 앞면에는 충치에 이환된 양이 깊지 않아 안쪽면으로 접근하기로 계획을 설명드렸습니다.

치료는 잘 마무리 되었고, 환자분께서도 모양이나 색상 질감 모두 괜찮다고 이야기 해주셨습니다. 충치를 깨끗하게 제거하는 기본원칙에서 부터, 치아의 질감까지 복원해내는 것이 앞니치료는 핵심입니다. 거칠거리는 면이 없는지, 혀를 댓을때 걸리는 부위가 없는지 모두 확인한 후에 마무리를 해드렸습니다.
앞니 충치는 보이는 곳이지만 혹시라도 착색이거나 변색이 되어 제거될 수 있는 것으로 생각하여 치료시기를 미루를 경우들이 생각보다 많습니다. 하지만, 진행성으로 바뀐 충치는 치아의 가장 겉층이 에나멜층을 파괴하는 순간 진행속도가 굉장히 빨라지고 앞니가 교합되는 습관이 있는 환자분에서는 치아가 부러지거나 할수 있습니다.

약수역치과 세이지치과의 앞니치료는 최대한 자연치아에 가까운 색상과 질감을 구현하기 위하여 다년간의 노하우를 통하여 진행드리고 있으며, 향후 변색 등을 예방하기 위하여 정기적인 검진또한 실시해 드리고 있습니다
이처럼 앞니 충치는 치료의 시기를 앞당기면 앞당길수록 삭제되는 치아의 양을 줄일수 있습니다. 혹시라도 오늘 거울로 치아를 보았을 때 검거나, 회색의 음영이 치아에 있다면 늦추지 말고 검진받으시길 바랍니다.
오늘도 좋은 하루 보내시길 바랍니다. 감사합니다.
네이버지도 바로가기
약수역치과 약수역치과 약수역치과 약수역치과 약수역치과
*모든 증례 사진은 의료법 제23조, 제 56조에 의거하여, 당사자의 동의하에 게시하였습니다.
*치료 사진은 모두 본원에서 치료한 환자분의 사진입니다.
*치료 사진은 모두 동일인의 사진이며, 동일조건에서 촬영하였습니다.
*개인의 차이에 따라 시술 및 수술 후 부작용이 발생할 수 있으며, 의료진과 충분한 상담을 받으시기 바랍니다.