약수동통증완화 충치 때문에 심하게 깨진 치아 자연치아로 보존한 케이스

안녕하세요, 약수동통증완화 세이지치과의원 원장 신종호입니다. 오늘의 주제는 충치로 인해 심하게 손상된 치아를 자연치아로 살려낸 증례입니다.
예기치 않은 충치로 인해 치아가 갑자기 부러졌다면 환자분들께서는 ‘뽑고 임플란트를 해야하나?’, ‘난 아직 젊은데 벌써 내 치아를 빼야하나?’ ‘치아를 살릴수 있는 방법이 있을까?’ 하시면서 큰 불안감에 휩싸이게 됩니다.
인터넷 검색을 하시면서 본인의 상황과 제일 비슷한 경우를 찾아보고 어떤 치과로 가야할지 막막한 경우들이 있으실 겁니다. 그렇다면 오늘 포스팅을 읽고 도움이 되시길 바랍니다.
“치아가 갑자기 부러졌어요”

2024.04.16(기존 수복물이 탈락한 치아, 이차우식이 심한 상태)

2024.04.16(기존 크라운이 탈락한 치아)
맨끝 치아의 기존 크라운이 탈락하였는데, 크라운 내부에 있었던 재료까지 함께 탈락한 상황이었습니다.

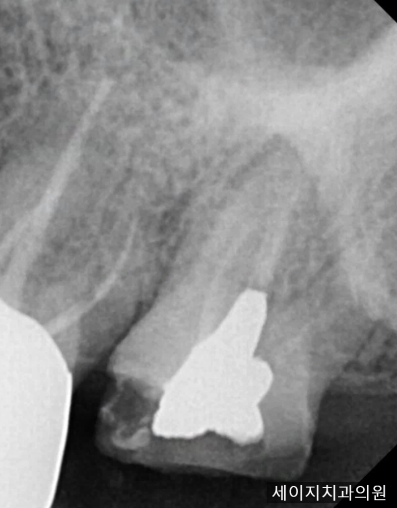
2024.04.16(크라운이 떨어지면서 기존 치아도 같이 부러진 상황)
기존 크라운이 탈락하면서 크라운과 함께 안쪽 자연치아까지 함께 부서진 상황이었습니다. 크라운을 씌우신지는 기억이 나지 않을 정도로 오래되었다고 이야기 하셨으며, 평소 어금니 주변으로 음식물이 많이 끼어 불편하셨는데, 식사를 하다가 갑자기 치아가 부러져 나왔다고 이야기 하셨습니다.
치아의 내면을 살펴보니 이차우식이 존재하였고, ,충치를 제거하면 남아 있는 건전 치질의 양이 적어지기에 여러가지의 방법을 생각해 보았습니다.
자연치아보존과 발치의 경계, 원칙적 접근이 필요

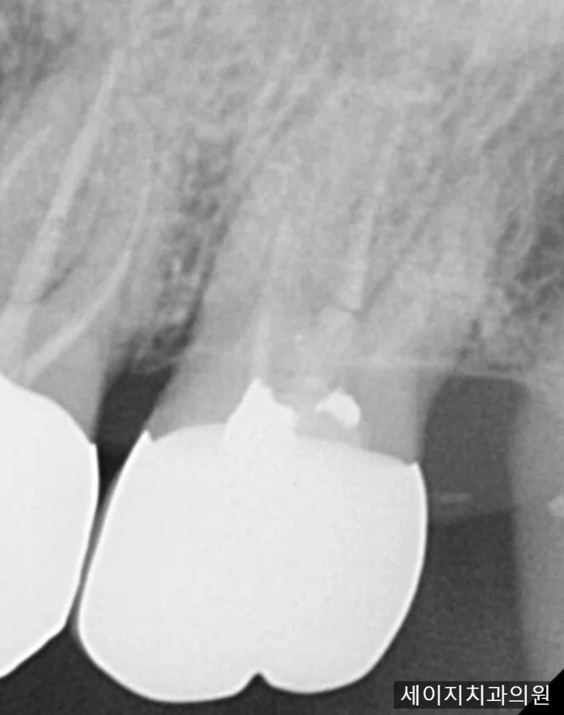
2024.04.16(포스트와 레진코어를 이용하여 상실된 치아를 복구한 사진)
해당 치아는 잇몸과 잇몸뼈 사이의 공간을 이용한다면 2mm이상의 ferrule 효과를 얻을 수 있을 것으로 판단되었고 치아 내부의 충치 제거 후 Post 라는 기둥을 식립하고 레진 재료를 얹어 치아를 보강하였습니다.한주 정도 잇몸이 아무는시기를 거치며 환자분의 불편감이 생기지 않는지 관찰하기로 계획하였습니다.
포스트와 레진코어를 이용하여 상실된 치아를 복구한 사진 치아를 보강하여, 기존의 치아 외형을 복원하였고 크라운을 씌우기 적합한 Ferrule 효과도 부여하여 치아가 단단하게 기능을 할 수 있도록 만들었습니다.

2024. 04. 30(포스트 + 코어 + 치관연장술을 적용하여 크라운을 다시 씌운 모습)
치아는 다시 회복 되었으며 크라운 까지 적용하여 기존의 교합 관계에 맞게 조정해드렸습니다. 충치로 인해 자연치아가 부러진 경우에 무조건 발치를 해야 한다고 생각하는 분들이 많은 것 같습니다. 물론 상황에 따라 종합적인 판단으로 고려해야 한다고 생각합니다.
환자분의 전반적인 구강관리능력과, 교합관계 등을 고려하여 자연치아 보존을 가장 먼저 고려해보고 만일 환자분의 교합관계가 특수하여 치료 후에도 예지성 없는 치료가 될 경우라면 조심스레 발치의 가능성을 이야기 드리고 있습니다.
약수동통증완화 세이지치과는 무분별한 발치를 지양하며, 정말 필요한 경우에만 발치를 안내드리고 있으며 양심적인 진단과 학문적인 접근에 기초를 둔 진단을 드리고 있습니다.
충치로 인한 치아파절로 고민이 있으시다면 약수동통증완화 세이지치과에 내원하셔서 상담받으시길 바랍니다!
약수동통증완화
네이버지도 바로가기
*모든 증례 사진은 의료법 제23조, 제 56조에 의거하여, 당사자의 동의하에 게시하였습니다.
*치료 사진은 모두 본원에서 치료한 환자분의 사진입니다.
*치료 사진은 모두 동일인의 사진이며, 동일조건에서 촬영하였습니다.
*개인의 차이에 따라 시술 및 수술 후 부작용이 발생할 수 있으며, 의료진과 충분한 상담을 받으시기 바랍니다