신당동통증완화, 오래된 보철물 불편함과 충치 유발?

안녕하세요, 신당동 세이지치과의원 원장 신종호입니다.
오래전 치과치료 후, 잊고 지내다 갑자기 해당 부위에 통증이 생긴다면 굉장히 당황스러우면서 많은 생각이 드실것 같습니다.
오늘 이야기 드릴 주제는 20년전 치료 받았던 곳에서 양치시에 통증이 있고, 찬물이 닿을 때 시렸으며, 불쾌한 냄새가 해당치아 잇몸주변에서 난다는 사례였습니다.
항상 아픈건 아닌데, 때운 쪽 치아가
가끔 시리고 통증 때문에 진통제 먹은 적이 있어요.

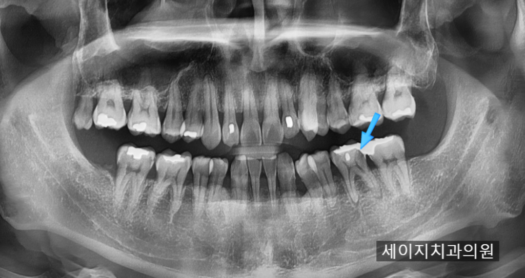
25. 02. 03육안상으로는 이상이 없는 치아)
육안상으로는 이상이 없는 치아 육안검진 상으로는 금으로 때운 곳이 잘 공간을 매우고 있었습니다. 환자분의 통증 양상과 임상적 검사를 토대로 엑스레이 영상을 같이 확인해보았습니다.

25. 02. 03(엑스레이 검진으로 발견된 이차우식)
금으로 때운 치아의 하방으로 검은 음영이 관찰되었으며, 뿌리쪽으로도 염증이 생기려는 찰나의 모습이 관찰됩니다.
신경치료는 언제 해야 할까요?
: 비가역적 치수염의 상태로 접어든 경우에는 근관치료(신경치료)를 통해 자연치아를 살리기 위한 노력을 합니다.
이미 비가역적 치수염의 단계로 접어든 상황에서, 환자분께 신경치료와 크라운 보철물 치료에 대해서 설명드렸습니다.
여기서 말하는 비가역적 치수염은, 우리 몸의 항상성의 작용으로 인해 염증이 생기면 자체적인 면역으로 회복이 되는 가역적 치수염도 있지만, 염증이 심해진다면 이러한 작용이 더이상 이뤄지지 않아 돌이킬수 없는 상태의 염증, 비가역적 치수염의 상태를 이야기 합니다.
이전에 진통제를 드시고 통증이 잡힌 경험이 있었고 환자분께서는 육안상으로는 전혀 문제가 없었기에 갑작스런 치료계획에 며칠 정도 생각할 시간이 필요하다 말씀 주셨습니다.
밤에 치통때문에 잠을 잘 수 없고,
진통제를 먹어도 통증이 가시지 않아요.
시간이 흘러서 몇일 뒤, 밤에 치통으로 잠을 잘 수 없었으며, 통증이 이전보다 조금 더 심해져서 치과에 다시 내원해주셨습니다.

25. 02. 03(수복물을 제거한 뒤 발견한 심한 이차우식)
이전 계획대로 신경치료와 크라운 치료를 안내드렸고, 치료동의를 얻어 조심스럽게 수복물을 제거하고 내부를 살펴보았습니다.
사진에 보이는 것처럼, 인접면의 치아는 하방으로 치아들이 음식물이 부패해 있는것처럼 치아들이 삭으면서 안쪽으로 빈공간이 생겨있었으며, 우식을 제거하면서 노출된 신경관이 발견되었습니다.

245 02. 17(근관치료 중 확인 촬영)
신경치료를 진행하였으며, 수회의 근관소독을 병행하여 뿌리끝의 염증이 사라지는 것을 확인 후 신경치료를 마무리 하였습니다.

245 02. 17(근관치료가 끝난 모습)
신경길이 꼬불꼬불하게 휘어 있었기에, 더욱 더 주의하여 신경치료를 진행하였습니다. 신경길이 꼬불꼬불하게 휘었거나, 석회화가 심하게 일어난 경우라면 막힌 신경길을 찾아야 하거나, 꺽여있는 신경길을 올바로 따라가야 하기에 치료의 난이도가 굉장히 높아지게 됩니다.
때문에 술자의 치료경험이나 대처 능력이 중요한 이유가 바로 여기에 있습니다. 신경치료 후에는 탈이 나지 않도록 오랫동안 사용해야 하기에 기초공사인 신경치료를 꼼꼼히 하는 것은 굉장히 중요한 일입니다.
신경치료 후 혹여라도 어떠한 원인에서 다시 염증이 재발하거나 재치료가 이뤄진다면 발치의 가능성이 더 커지는 것이기에 항상 신경치료는 꼼꼼하고 원칙적으로 시행하고 있습니다.
치료 후에, 고생하신 환자분들과 이런저런 이야기를 나누면서 환자분께서 저에게 물어보셨던 질문이 생각이 납니다.
이전에 치료를 받았으니, 문제없이 평생 쓸줄 알았어요.
대부분의 환자분들께서 치료를 마치시면 위와 같은 마음이라 생각이 듭니다. 저 역시도 감기치레나 다른 병치레를 하고 나면, 이제 다신 안아프겠지 라는 생각을 하지만, 관리가 소홀해 지는 순간, 다시 감기가 걸리게 되는데요.

치과치료 역시 꾸준한 정기검진과 평소의 올바른 구강위생관리가 동반되지 않으면 치료의 예후를 보장할 수 없습니다.
때문에 환자분들께 치료도 중요하지만 더 중요한건 건강함을 유지하는 습관이라고 설명드립니다. 실제로, 올바른 구강위생관리 습관을 가지신 분들께서는 같은 치료라 하더라도 더 긴 보철물의 수명을 갖는 경우들이 많습니다.
오늘의 사례를 통해 혹시라도 치과검진이 너무 소홀했던 경우라면, 늦지 않게 검진 받아보시길 바랍니다.
신당동통증완화 신당동통증완화 신당동통증완화 신당동통증완화
*모든 증례 사진은 의료법 제23조, 제 56조에 의거하여, 당사자의 동의하에 게시하였습니다.
*치료 사진은 모두 본원에서 치료한 환자분의 사진입니다.
*치료 사진은 모두 동일인의 사진이며, 동일조건에서 촬영하였습니다.
*개인의 차이에 따라 시술 및 수술 후 부작용이 발생할 수 있으며, 의료진과 충분한 상담을 받으시기 바랍니다.
네이버지도 바로가기